Periodontal Disease Treatment in Vienna, VA
If you have noticed a change in your gums lately, you may be dealing with periodontal disease. Gums that look swollen or irritated, feel tender, or bleed when you brush are all common signs of a gum infection.
At Vienna Family Dental and Facial Esthetics, we take your overall well-being very seriously because we don’t just treat teeth – we treat people. We take our time to understand your concerns and goals because your oral health needs are as unique as you are.
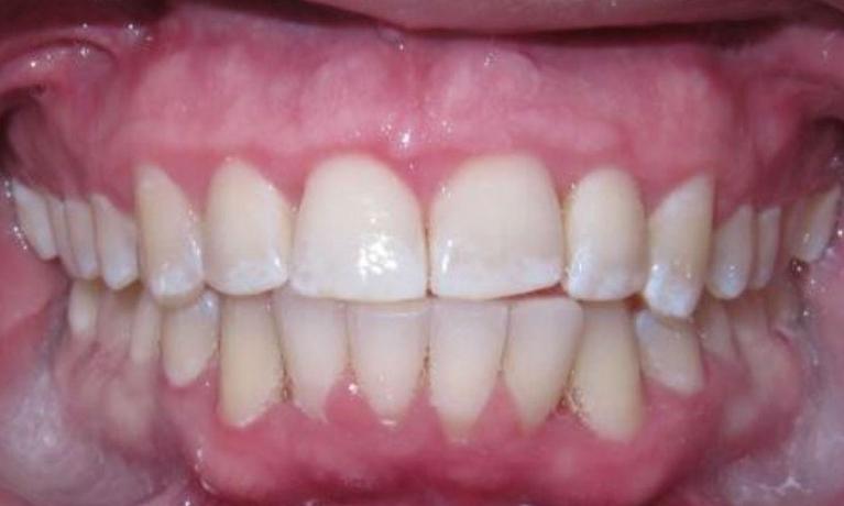
How Gum Disease Develops
When bacteria-filled plaque and tartar are allowed to build up on the teeth and beneath the gum line, a gum infection called gingivitis can occur. Your body’s immune system tries to fight the infection, and you will notice that your gums look red or puffy, feel tender when touched, or bleed when you brush.
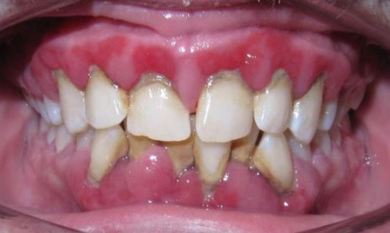
If the infection is not detected and treated promptly, the gums gradually pull away from teeth and open up spaces called periodontal pockets. Bacteria continue to thrive and grow in this environment and, if not removed, can cause the infection to grow and spread, attacking the bones and supporting structures of your teeth. This stage of gum disease is called periodontitis.
How We Treat Gum Disease
If you haven't been proactive with your dental care and are now facing problems as a result, please don’t put off an appointment because you don’t want to hear a lecture.
Everyone is at different stages with their oral health, and there’s nothing to be gained by us judging you or shaming you for past habits. We will meet you right where you are and provide the tools and education you need to move your oral health in the right direction.
In the case of gingivitis, all that’s usually needed is a thorough dental cleaning and improved oral hygiene. Your hygienist will talk to you about proper brushing and flossing techniques and any lifestyle habits, like smoking, that may be affecting your gum health.
Professional, courteous, helpful staff
This is one impressive dental office! I have good things to say about everyone I've met: the front desk personnel, the dental assistants, the dental hygienists and the dentists. Among the reasons I go to Dr. Rudolph's office is the professional, courteous, helpful staff. Not just to me, but to themselves! I really enjoy and am impressed by an environment where one appreciates the help and instruction of another. The most important reason I go twice a year is the meticulous care of Dr. Rudolph. I trust him and know my oral health is in good hands.
Anonymous; McLean, VA
Advanced Gum Care
If you have advanced gum disease, we will recommend a procedure called a deep cleaning with one of our experienced dental hygienists. During this process, we clear away bacteria-filled plaque and tartar from your teeth to provide a smooth surface for your gums to reattach to the teeth. All of our hygienists have been with us for at least ten years, so you know you're in excellent hands!
Our goal is to ensure that you always receive the highest standard of care, regardless of what procedure you have. In the case of advanced gum disease, we may recommend the services of Dr. Georges Traboulsi, our in-house periodontist.
Gum surgery used to be something to dread, but Dr. Traboulsi is trained to use state-of-the-art dental lasers to perform a comfortable procedure with no injections, no downtime, faster recovery, and better long-term results.
Why Gum Disease Is a Problem 
Healthy gums are essential if you want to enjoy the benefits of a problem-free smile.
But beyond oral health, numerous studies and research in recent years have also found a connection between the condition of your gums and your general health. Chronic gum infections can contribute to complications of heart disease, diabetes, lung disease, stroke, Alzheimer’s disease, and much more.
Please Call to Arrange an Appointment
The good news is that gum disease is highly preventable; with a conscientious oral hygiene routine and semi-annual visits for exams and cleanings, it is unlikely that you will have to worry about gum disease.
At Vienna Family Dental and Facial Esthetics, our goal is to help you achieve a healthy, problem-free smile. Please call us so we can help you get started!
Frequently Asked Questions
It’s common to have a cavity without feeling any discomfort. Cavities start as a small spot of decay in a tooth and continue to spread and grow without treatment.
This is one reason why we so strongly encourage routine preventive exams. Seeing you at six-month intervals allows us to monitor your oral health and stay a step ahead of problems like decay.
Today, in addition to routine visual exams, we use state-of-the-art technology like digital x-rays that can help us locate decay early on. The high-resolution images produced with these x-rays show us even the tiniest cavities and allow us to resolve the problem in the most conservative manner possible.
If we wait to treat a tooth until you experience discomfort, the odds are that significant damage has already occurred. The longer you put off treatment, the more complicated the problem becomes and more invasive procedures will be necessary to correct it. Our job is to catch and treat problems before they become symptomatic.
In a perfect world, you would brush and floss conscientiously, see your dentist for semi-annual exams and cleanings, and never get a cavity. At Vienna Family Dental and Facial Esthetics, we do our best to make our practice a warm, friendly, and welcoming environment to help you feel good about visiting us. Please call us to learn how we can help you enjoy a healthy, problem-free smile.
Have you noticed lately that people tend to keep their distance when you talk to them?
We tend to think of bad breath as something caused by smelly foods like garlic and onions, which can happen to anyone. But if your chronic bad breath is taking a toll on your social life, there are probably other contributing factors.
Improper oral hygiene: The most common cause of halitosis (chronic bad breath) is improper oral hygiene. Food particles can get trapped in your teeth and gums and collect bacteria that smell bad. If you don’t brush and floss properly, the particles sit in your mouth and cause the unpleasant odor.
Reduced saliva production: The production of saliva is necessary to help wash away and eliminate bacteria. If you suffer from chronic dry mouth, you may also notice bad breath.
Stress: Stress and anxiety can cause dry mouth, which also leads to a decrease in saliva production, which in turn leads to a buildup of the bacteria that create odors.
Most often, bad breath is simply the result of a buildup of bacteria in your mouth, which causes inflammation and produces an odor that smells like sulfur.
If bad breath has become a problem for you, please call our Vienna, VA dental office, and one of our doctors will be happy to pinpoint the problem and provide appropriate treatment.
Many people believe it’s the sugar they consume that causes tooth decay. It’s true that sugar is bad for your teeth, but it’s only part of the problem.
As you go through your day, a sticky film called plaque builds up on your teeth. Plaque attracts bacteria, which feed on the sugar in your mouth and produce acid as a byproduct. If you don’t interrupt the process by brushing, rinsing your mouth, or chewing sugarless gum, the acid eats away at your dental enamel, and you get a cavity.
Tooth decay needs to be treated as soon as possible, which is why we strongly emphasize the importance of routine dental exams and cleanings. Finding decay in its earliest stages allows us to treat it while it is still small and before it causes you discomfort.
If decay isn’t treated, it will continue to eat away at your tooth and result in an infection, severe pain, and even tooth loss.
At Vienna Family Dental and Facial Esthetics, we do everything we can to support your oral health with preventive services to stay a step ahead of problems. We also offer esthetic restorative treatments if something goes wrong.
If you would like to protect yourself against decay or worry that you may already have a cavity, please call us to arrange a convenient appointment with one of our dentists.
Meet Our Doctors:
Dr. David Paino DDS
"Dentistry is the absolute perfect profession for me. Thinking outside the box to solve problems requires a combination of intellect and manual ...
Dr. Brandon Grubic DDS
Dentist
“Dentistry is a constantly evolving profession and I love ...
Dr. Georges Traboulsi DDS
Periodontist
Dr. Georges Traboulsi is a board-certified periodontist who visits our office on Mondays and Wednesdays to perform implant and other periodontal related surgeries. He attended St. Joseph’s University ...