Smile Gallery
Modern dentistry provides us with wonderful methods to help you enjoy a better smile. While most of our services are designed to restore your oral health, the esthetics of your smile also play an important role in helping you feel good about yourself.
If you are considering changing the look of your smile, please take a moment to browse through our Before and After pictures to see what's possible. Then call our Vienna dental office to arrange a consultation to get started!


This patient presented to our office wanting to improve her smile. She was missing several teeth and was dissatisfied with her previous veneers. After consultation and work-up, we decided that the best course of treatment was to move her teeth to help better distribute the space. She then required a periodontal procedure called crown lengthening to reposition the gum tissue, exposing more tooth structure. The case was finished with porcelain veneers to create a beautiful result!




This patient presented to our office with an uneven bite and worn edges of her front teeth. We had her wear Invisalign aligners for several months, followed by whitening treatment. Once we had the teeth in the proper position, Dr. Paino restored the teeth using direct composite veneers. This procedure was extremely conservative and did not require a single shot!


This patient presented with chipped, worn, and discolored teeth. We planned the case using a digital smile design software and created a 3D mockup. Our patient was able to try in the mockup and approve before we began treatment. This allowed for an extremely predictable, esthetic outcome. The treatment was performed while the patient was asleep with help form our anesthesiologist. Being able to visualize the final product beforehand was extremely important in this case because we were unable to get feedback during the treatment.


We are able to repair chipped or fractured teeth, conservatively, using composite filling materials. Using the newer generation of bonding materials, and some advanced techniques, we are able to create a nearly invisible finish line.


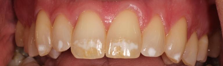
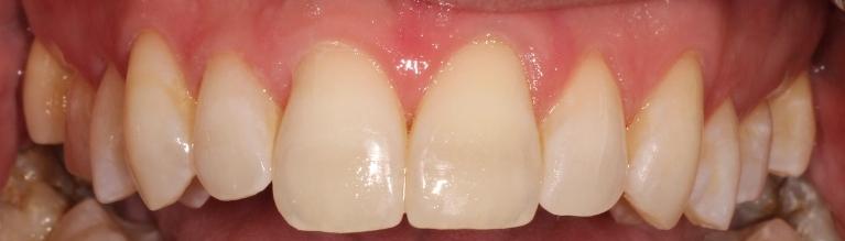
This patient presented to our office with white and brown spots on his front teeth. While some dentist's may recommend veneers in this situation, Dr. Paino decided to treat the case conservatively. The white spots were treated with a product called "Opalustre", followed by a 1-month fluoride regimen to shrink the lesions. Then we performed a "Kor" whitening treatment, followed by composite bonding to completely eliminate all white and brown spots. This entire case was performed without a single shot!


This patient presented with an old veneer that was starting to decay at the margins. The other issue was that the gum was positioned too far down on that tooth. Dr. Traboulsi performed a minor crown lengthening procedure to reposition the gum tissue. Once healed, Dr. Paino placed veneers on the patient's 2 front teeth.


This patient was born congenitally missing a lateral incisor on one side and she had a a "peg lateral" on the other side. She is not a candidate for dental implants until age 20. In her case we decided to whiten her teeth, bond the lateral incisor on one side, and replace the missing lateral incisor using an all porcelain "Maryland Bridge".


Dr. Paino's patient showed up unhappy with her existing crowns which were done over 10 years ago. The one on the left was an implant crown and the one on the right was a porcelain fused to metal crown. We whitened her teeth, then replaced her implant crown with an all ceramic abutment and cemented 2 highly esthetic all ceramic crowns.


This patient presented to our office after many years of avoiding the dentist. We provided him with a deep cleaning including scaling and root planing. After we eliminated the gum infection and inflammation, we straightened his teeth using Invisalign, to both improve his appearance and eliminate plaque traps, making his teeth more self cleansing.


This patient was dissatisfied with the shape and proportion of her teeth. In order to increase the length of her teeth, she required a periodontal procedure known as crown lengthening to expose more tooth structure. We then placed 8 veneers to create an ideal result.


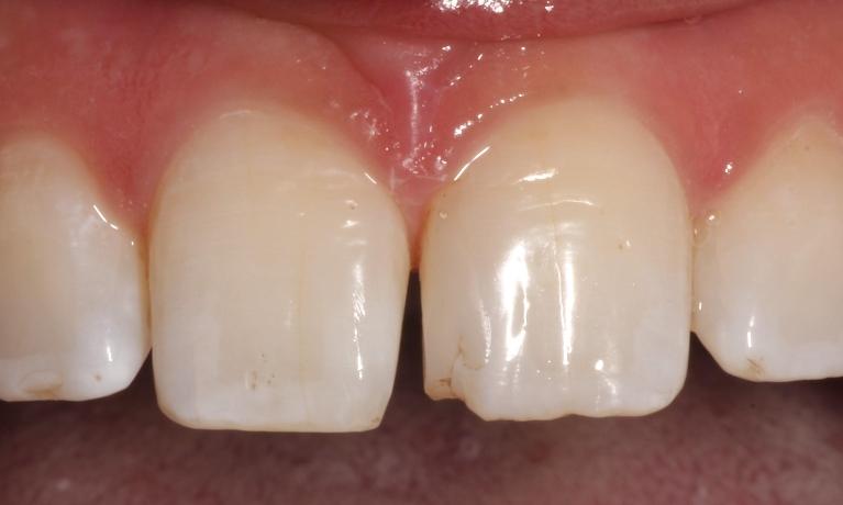
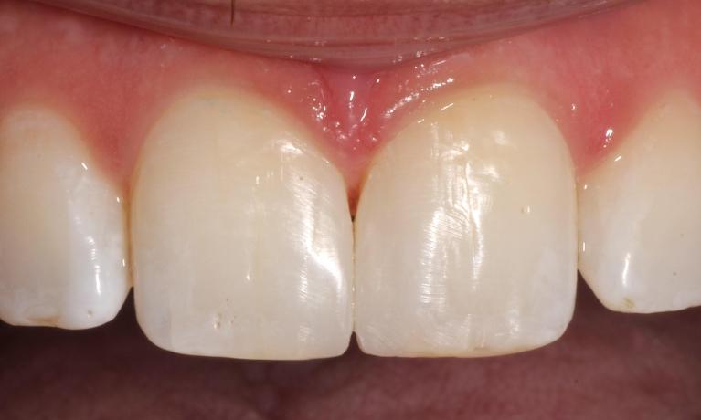
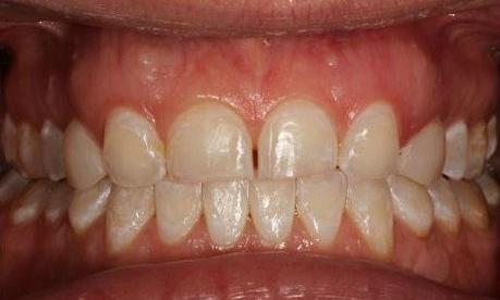
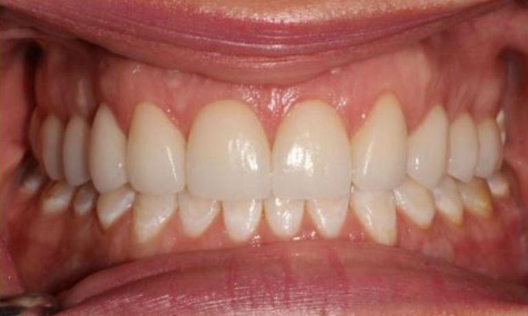
Before: Front (left) Central tooth has a poor restoration. Does not look natural and is not contoured properly to match the gumline of the rest of the teeth.
After: Replaced with an All Porcelain Crown (no metal). Tooth is now contoured to match the rest of the gumline. Restored tooth looks very natural and matches the shape and color of the patient's teeth.


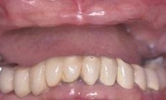
Before: Patient needs Upper and Lower Arch Rehabilitation.
After: Great smile, chewing function, and facial tissue support possible with an Upper Denture that is supported with Implants and Lower Implants and Crowns


Before: Patient needs a Single Tooth Replacment of one Upper Central Incisor.
After: Smile and function restored with a Single Implant and an All Porcelain Crown (Cap) that fits securely over the implant.


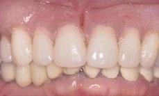
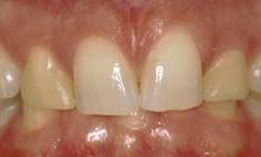
Before: Patient unhappy with six Upper Anterior teeth. The edges are uneven, the gumline is uneven on the two central incisors, and the color/shade is not uniform. The two lateral incisor teeth have been previously restored and are poorly shaped.
After: Smile restored with 6 Upper Anterior Crowns that are properly shaped, gumline is uniform, and color/shade is the same for all 6 incisor teeth.
Dr. Paino is fantastic with my 3 children. He is not only a skilled dentist but also he is a "kid -person" which makes it a lot easier to get kids happily in and out of the office.
Elanor