Vienna Family Dental

Whitening, Bonding, Maryland Bridge

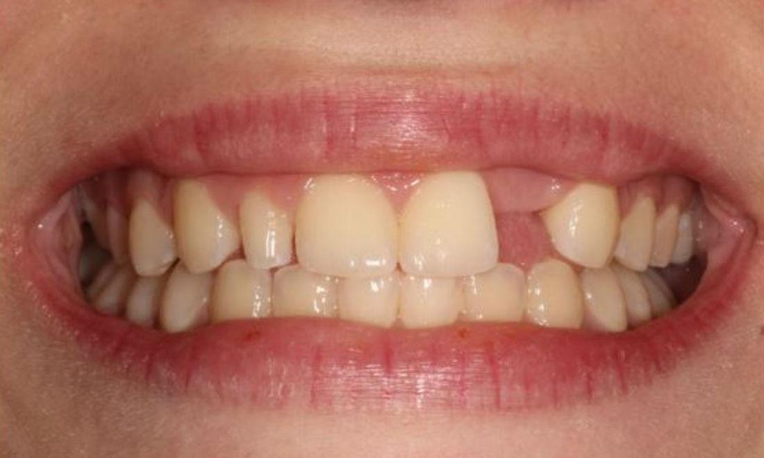
This patient was born congenitally missing a lateral incisor on one side and she had a a "peg lateral" on the other side. She is not a candidate for dental implants until age 20. In her case we decided to whiten her teeth, bond the lateral incisor on one side, and replace the missing lateral incisor using an all porcelain "Maryland Bridge".

Improve your smile today – call to schedule a consultation!
If you have difficulty using our website, please email us or call us at (703) 281-7104